We give you good, honest advice.
You will be seen on time.
We will answer the phone quickly.
We will aim for pain free dentistry.
We will never judge you.
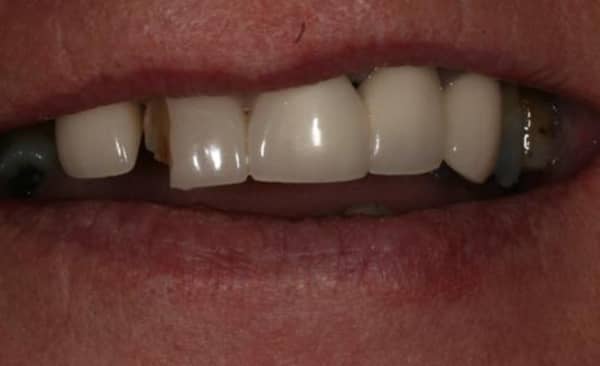
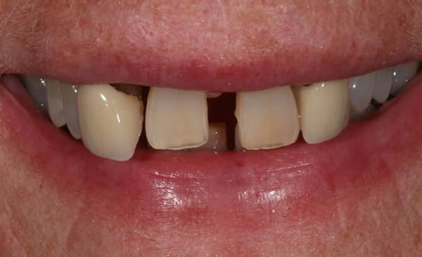
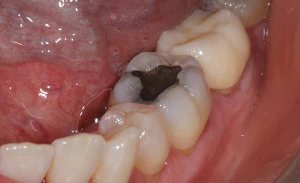
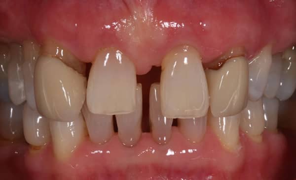
Schedule your free consultation today, and let’s take that first step towards a stress-free dental experience!